• Senin, 22 Desember 2025

Hidup Sehat

Berita Terkini

Hidup Sehat

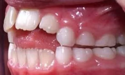
Bahaya Isap Jari Pada Anak, Dampaknya Terhadap Kesehatan Gigi dan Mulut

Mengisap jari dapat menyebabkan tekanan pada gigi dan rahang, yang berpotensi mengakibatkan maloklusi atau ketidakteraturan gigi.

Sabtu, 24 Mei 2025 | 04:01 WIB

Hidup Sehat

Cara Mengatasi Kebiasaan Isap Jari pada Anak

Kesabaran, konsistensi, dan komunikasi menjadi kunci utama untuk menghilangkan kebiasaan mengisap jari pada anak

Sabtu, 24 Mei 2025 | 03:38 WIB

Hidup Sehat

Susah Fokus & Mudah Lupa? Bisa Jadi Otakmu Kelebihan Informasi!

tujuan hidup bukan sekadar update informasi sebanyak-banyaknya. Tapi juga memahami, meresapi, dan hidup dengan sadar.

Jumat, 23 Mei 2025 | 11:42 WIB

Hidup Sehat

Kentut Terlalu Sering? Bisa Jadi Tanda Masalah Serius di Perutmu

Kentut bukan sesuatu yang harus kamu sembunyikan dengan rasa malu berlebihan. Tapi jangan juga menganggapnya sepele kalau tidak normal.

Jumat, 23 Mei 2025 | 11:06 WIB

Hidup Sehat

Baru Bangun Langsung Pusing? Ternyata Ini Penyebabnya, Bukan Kurang Tidur

Pusing saat bangun tidur bisa menjadi sinyal tubuh bahwa ada yang tidak beres, entah itu ringan atau cukup serius

Jumat, 23 Mei 2025 | 08:11 WIB

Hidup Sehat

5 Hal yang Harus Disadari Karena Bikin Hidup Kamu Terasa Stres!

Terkadang bukan hal besar saja yang membuat orang stres, tapi pola hidup tidak sehat bisa berdampak besar pada kesehatan mental dan fisik

Jumat, 23 Mei 2025 | 02:45 WIB

Hidup Sehat

Tahukah Anda Terlalu Banyak Melihat Media Sosial Bisa Sebabkan Stres?

Mengenali bahwa media sosial dapat menjadi sumber stres merupakan suatu langkah awal yang penting guna menggunkannya dengan lebih bijak

Jumat, 23 Mei 2025 | 02:32 WIB

Hidup Sehat

Tahukah Jam Tidur yang Berantakan Bisa Membuat Anda Stres?

kurang tidur juga menurunkan kemampuan otak dalam hal konsentrasi, mengambil keputusan, dan menyelesaikan masalah.

Jumat, 23 Mei 2025 | 01:16 WIB

Hidup Sehat

Tahukah Anda Jarang Terkena Sinar Matahari Bisa Sebabkan Stres?

gangguan afektif musiman, atau yang lebih dikenal dengan Seasonal Affective Disorder (SAD) terjadi karena kurangnya terkena sinar matahari

Jumat, 23 Mei 2025 | 00:58 WIB

Hidup Sehat

Tahukah Anda Bahwa Jarang Berolahraga Bisa Meningkatkan Resiko Stres?

olahraga terbukti mampu menstimulasi pelepasan hormon endorfin yang berfungsi sebagai penyeimbang suasana hati.

Jumat, 23 Mei 2025 | 00:38 WIB

Hidup Sehat

Tahukah Anda Bahwa Makan Gorengan Terlalu Banyak Bisa Mengakibatkan Stres?

konsumsi gorengan secara berlebihan ternyata bisa berdampak pada kondisi mental, terutama memicu stres, kecemasan, bahkan depresi

Jumat, 23 Mei 2025 | 00:20 WIB

Hidup Sehat

Bahaya Membersihkan Telingan Dengan Cotton Bud, Salah Satunya Bisa Membuat Kotoran Mengeras dan Menumpuk di Dalam: Begini Cara yang Benar!

Membersihkan telinga dengan menggunakan cotton bud bisa berbahaya bagi kesehatan, namun telinga punya cara alami untuk membersihkan sendiri

Kamis, 15 Mei 2025 | 14:52 WIB

Hidup Sehat

Cara Mengatasi Telinga Kemasukan Air: Jangan Panik, Ini Solusinya

Ada banyak cara aman untuk mengatasi telinga yang kemasukan air agar terhindar dari kelembaban dan akhirnya timbul infeksi bakteri

Kamis, 15 Mei 2025 | 14:49 WIB

Hidup Sehat

Ini Dia Cara yang Benar dan Sehat Saat Membeli Baju Thrifting Agar Kamu Tidak Ketularan Penyakit Kulit

Merawat pakaian thrifting dengan benar bukan hanya menjaga kesehatan kulit, tetapi juga mendukung gaya hidup berkelanjutan.

Rabu, 30 April 2025 | 19:52 WIB

Hidup Sehat

Studi Mengungkapkan Bahwa Tidur Siang Bisa Membuat Otak Lebih Awet Muda Hingga 6.5 Tahun

Studi mengungkapkan bahwa tidur siang dapat membuat perlambatan penuaan otak antara 2,6 hingga 6,5 tahun.

Rabu, 30 April 2025 | 12:22 WIB

Hidup Sehat

Mitos atau Fakta: Orang yang Sudah Tua Cenderung Bau Apek? Begini Penjelasannya

bau khas pada orang dengan usia di atas 40 tahun disebut sebagai hasil dari senyawa kimia bernama 2-nonenal.

Rabu, 30 April 2025 | 11:12 WIB

Hidup Sehat

Studi Mengungkapkan Bahwa Memakai Peralatan Rumah Tangga dari Plastik Sebabkan Ribuan Orang Meninggal Karena Sakit Jantung

bahan kimia sintetis, dikenal sebagai phthalates kerap ditemukan dalam berbagai produk plastik rumah tangga dan menyebabkan sakit jantung

Rabu, 30 April 2025 | 04:39 WIB

Hidup Sehat

Bagaimanakah Cara Memakai Kacamata yang Benar: Apakah Perlu Digunakan Setiap Hari Atau Lepas Pasang? Berikut Manfaat dan Resikonya

memakai kacamata dengan benar justru membawa banyak manfaat, seperti memperjelas penglihatan, meningkatkan keselamatan, dan lain lain

Senin, 28 April 2025 | 00:41 WIB

Hidup Sehat

Studi Mengungkapkan Berkurangnya Tidur Nyenyak Bisa Tingkatkan Resiko Terkena Alzheimer

kekurangan tidur gelombang lambat dan tidur REM dapat menyebabkan penyusutan pada daerah parietal inferior otak.

Kamis, 10 April 2025 | 19:00 WIB

Hidup Sehat

Fenomena “Sleep Syncing”: Tren Tidur Baru yang Bikin Tubuh Lebih Sehat?

tidur yang berkualitas adalah fondasi tubuh sehat. Sleep syncing mengajak kita untuk mendengar tubuh sendiri,

Kamis, 10 April 2025 | 19:00 WIB

Terpopuler

X