• Senin, 22 Desember 2025

Bahaya Isap Jari Pada Anak, Dampaknya Terhadap Kesehatan Gigi dan Mulut

Photo Author
- Sabtu, 24 Mei 2025 | 04:01 WIB
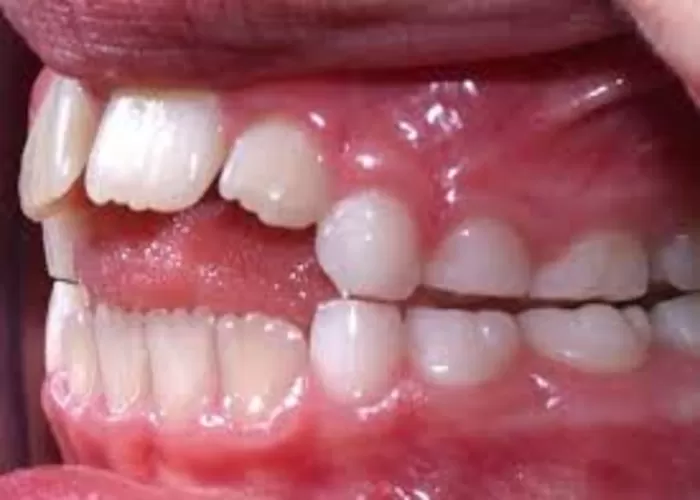
Dampak kebiasaan isap jari terhadap Kesehatan Gigi dan Mulut
Dampak kebiasaan isap jari terhadap Kesehatan Gigi dan Mulut

SURATDOKTER.com - Kebiasaan mengisap jari pada anak sering dianggap sebagai perilaku yang wajar, terutama pada usia dini.

Namun, jika kebiasaan ini terus berlanjut hingga usia yang lebih tua, dapat menimbulkan dampak negatif terhadap kesehatan gigi dan mulut anak.

Dampak pada Pertumbuhan Gigi

Mengisap jari dapat menyebabkan tekanan pada gigi dan rahang, yang berpotensi mengakibatkan maloklusi atau ketidakteraturan gigi.

Tekanan ini dapat mendorong gigi atas ke depan dan gigi bawah ke dalam, menciptakan celah yang tidak normal antara gigi atas dan bawah. Selain itu, kebiasaan ini juga dapat mempengaruhi perkembangan langit-langit mulut.

Baca Juga: Tahukah Anda, Ternyata Mengonsumsi 7 Makanan Ini Bisa Membahayakan Kesehatan Gigi Anak Anda, Ini Alasannya...

Risiko Infeksi dan Masalah Kesehatan Lain

Tangan anak yang sering dimasukkan ke dalam mulut dapat menjadi media masuknya kuman dan bakteri, meningkatkan risiko infeksi. Selain itu, kulit pada jari yang sering diisap dapat menjadi iritasi atau bahkan terluka.

Waktu yang Tepat untuk Menghentikan Kebiasaan

Sebagian besar anak berhenti mengisap jari secara alami antara usia 2 hingga 4 tahun. Namun, jika kebiasaan ini berlanjut hingga gigi permanen mulai tumbuh, biasanya sekitar usia 6 tahun, intervensi mungkin diperlukan untuk mencegah kerusakan lebih lanjut.

Baca Juga: Cara Mengatasi Kebiasaan Isap Jari pada Anak

Mengisap jari dapat berdampak negatif pada kesehatan gigi dan mulut anak jika tidak dihentikan pada waktu yang tepat.

Orang tua perlu memperhatikan kebiasaan ini dan mengambil langkah-langkah yang diperlukan untuk membantu anak menghentikannya.***

Dilarang mengambil dan/atau menayangkan ulang sebagian atau keseluruhan artikel
di atas untuk konten akun media sosial komersil tanpa seizin redaksi.

Editor: tia mardwi

Sumber: rsiunisma.com, Google, Siloam, Morinaga.id

Tags

Artikel Terkait

Terkini

Terpopuler

X