• Senin, 22 Desember 2025

#hepatitis

Obat

Vaksin Hepatitis: Perlindungan Awal dari Ancaman Kerusakan Hati

Vaksin hepatitis adalah langkah preventif yang sangat penting dalam menjaga kesehatan hati atau dari penyakit hepatitis.

Rabu, 18 Juni 2025 | 16:27 WIB

Penyakit

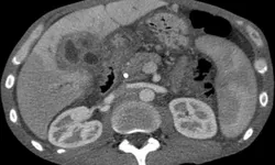
Apakah Hepatitis Bisa Menyebabkan Kanker Hati? Ini Penjelasannya

infeksi hepatitis tertentu bisa berkembang menjadi penyakit yang jauh lebih serius, yaitu kanker hati.

Rabu, 18 Juni 2025 | 03:53 WIB

News

Seorang Petugas Kebersihan Menularkan Penyakit Seksual Kepada 13Orang Rekan Kerjanya Dengan Buang Air Kecil di Dispenser

petugas kebersihan bernama Lucio Catarino Diaz, berusia 52 tahun, dijatuhi hukuman enam tahun penjara karena menularkan penyakit seksual

Minggu, 30 Maret 2025 | 13:12 WIB

Penyakit

Waspada Bagi Penyuka Makanan Mentah Atau Setengah Matang, Resiko Hepatitis A Menghadang!

Pecinta kuliner makanan mentah atau setengah matang sebaiknya hati-hati karena bahan makanan bisa saja menularkan hepatitis A (HAV).

Sabtu, 14 September 2024 | 08:00 WIB

Penyakit

Peringatan Hari Hepatitis Sedunia: Tingkatkan Kesadaran, Pencegahan, dan Metode untuk Mendeteksinya

Hepatitis adalah penyakit yang melibatkan peradangan pada hati. Penyakit ini bisa disebabkan oleh bermacam-macam faktor.

Kamis, 1 Agustus 2024 | 11:30 WIB

Obat

Mengenal Hepatitis B, Ini Gejala, Penyebab serta Pengobatan yang Bisa Dilakukan

Virus Hepatitis B dapat menyebabkan infeksi akut atau kronis, dan seringkali menjadi penyebab penyakit hati yang serius. Ini cara pengobatan

Senin, 15 Januari 2024 | 14:29 WIB

Kesehatan

4 Penyakit kronis yang bisa saja bersemayam dalam tubuh kita, gejalanya tampak sepele

4 Penyakit kronis yang bisa saja bersemayam dalam tubuh kita, gejalanya tampak sepele

Jumat, 4 Agustus 2023 | 18:00 WIB

Penyakit

Sering Dianggap Sepele, 4 Penyakit Ini Ternyata Mempunyai Dampak Mematikan!

Sering Dianggap Sepele, 4 Penyakit Ini Ternyata Mempunyai Dampak Mematikan!

Jumat, 4 Agustus 2023 | 06:00 WIB

Penyakit

Mengenal Virus Hepatitis C: Menyerang Kesehatan Hati

Mengenal Virus Hepatitis C: Menyerang Kesehatan Hati

Jumat, 7 Juli 2023 | 22:00 WIB

News

Diet Hati Rendah Lemak untuk Penderita Hepatitis...

Diet Hati Rendah Lemak untuk Penderita Hepatitis...

Selasa, 13 Juni 2023 | 17:00 WIB
1
2

Terpopuler

X